Beber apenas uma taça de vinho por semana durante a gravidez já altera a estrutura cerebral dos bebês, diz estudo
Exames de ressonância magnética mostram que área afetada está associada à cognição e linguagem
Por O GLOBO — Rio de Janeiro
23/11/2022 04h30 Atualizado 23/11/2022
Um estudo feito por pesquisadores da Universidade de Medicina de Viena revelou que uma taça de vinho por semana é capaz de provocar alterações físicas no cérebro do bebê. Exames de ressonância magnética apontou que crianças expostas a quantidades baixas de álcool no período pré-natal tinham um sulco temporal superior direito (STS) menos aprofundado — área cerebral envolvida na cognição e na linguagem.
- Alta da Covid-19: Anvisa decide voltar com obrigação de uso de máscaras em aviões e aeroportos
- Erasmo Carlos: Entenda o que é paniculite, causa da morte do cantor
A pesquisa foi apresentada na terça-feira na reunião anual da Sociedade Radiológica da América do Norte a em Chicago, Illinois.
Para Patric Kienast, neurologista da Universidade de Medicina de Viena e principal autor do estudo, o trabalho mostra que as gestantes devem evitar o consumo de álcool, mesmo em pequenas doses. Ele ressaltou que a pesquisa apontou que baixas quantidades de vinho levam a “a mudanças estruturais no desenvolvimento do cérebro e atraso na maturação do órgão”.
O álcool altera a estrutura das células, reduzindo a mielinização — processo de revestimento protetor — e o número de interconexões entre as células.
- Drauzio Varella: ‘É um crime a dúvida sobre a eficácia das vacinas que colocaram na população’; leia a entrevista
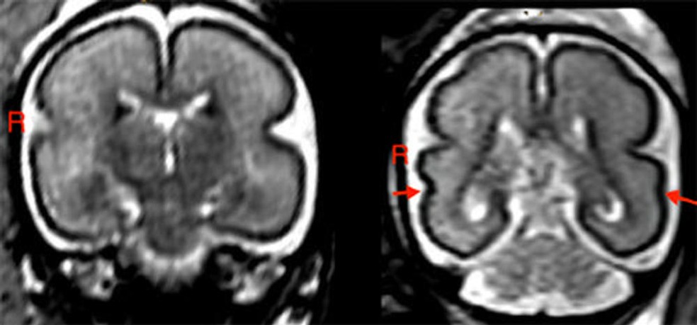
/i.s3.glbimg.com/v1/AUTH_da025474c0c44edd99332dddb09cabe8/internal_photos/bs/2022/k/m/TbjkhkQwes50tSiHutyg/cerebro-feto-alcool.jpg)
À esquerda, cérebro de feto exposto ao álcool entre 25 e 29 semanas de gestação: córtex liso nos lobos frontoparietal e temporal. À direita, cérebro de feto não exposto ao álcool: sulco temporal superior já está formado bilateralmente (setas vermelhas). — Foto: Divulgação/Universidade de Viena
O desenvolvimento pré-natal tem duas fases, sendo a primeira a fase embrionária que compreende as primeiras oito semanas de desenvolvimento onde são determinados os precursores do que se tornarão os sistemas de órgãos. O álcool introduzido nesta fase pode ter repercussões significativas dependendo da população de células afetadas negativamente, que podem variar de defeitos congênitos a abortos espontâneos.
No entanto, o maior impacto é comportamental, apontam os cientistas. As mudanças no nível celular impactam na estrutura do cérebro, afetando o armazenamento de memória, a velocidade de processamento, a capacidade de analisar ou tomar decisões.
- Protegendo a mente: Exercício físico fortalece a cognição durante o envelhecimento, diz estudo da USP
Como foi o estudo
A equipe austríaca analisou os cérebros de 24 fetos expostos ao álcool entre as semanas 22 e 36 de gravidez usando exames de ressonância magnética.
O consumo de álcool foi determinado por meio de pesquisas anônimas das mães. Dezessete gestantes ingeriam menos de um drinque alcoólico por semana, enquanto duas afirmaram consumir até seis drinques por semana e uma afirmou consumir mais de 14.
Seis das mães também admitiram beber em excesso pelo menos uma vez durante a gravidez — tendo ingerido mais de quatro bebidas em uma ocasião.
Fonte: O GLOBO — Rio de Janeiro

